BỆNH TỰ MIỄN
BỆNH TỰ MIỄN
411
Thứ Hai, 09/11/2023, 02:58 (GMT+7)
Mục lục
ToggleBệnh Tự Miễn Dịch
1. Tổng quan về bệnh tự miễn dịch
Bệnh tự miễn dịch là nhóm bệnh lý xảy ra khi hệ thống miễn dịch – vốn có vai trò bảo vệ cơ thể khỏi virus, vi khuẩn – lại nhầm lẫn và tấn công chính các mô, tế bào khỏe mạnh của cơ thể. Có hơn 80 loại bệnh tự miễn khác nhau, phổ biến nhất gồm: lupus ban đỏ hệ thống, viêm khớp dạng thấp, bệnh Celiac, tiểu đường tuýp 1, bệnh Hashimoto…
Mỗi bệnh tự miễn tác động lên các bộ phận khác nhau, nhưng điểm chung là làm rối loạn chức năng cơ quan, viêm mãn tính và tổn thương mô lâu dài nếu không được kiểm soát.
⸻
2. Nguyên nhân gây bệnh tự miễn
Nguyên nhân chính xác vẫn chưa được xác định, nhưng các nhà khoa học tin rằng bệnh tự miễn thường là hệ quả của sự kết hợp giữa yếu tố di truyền và môi trường, bao gồm:
-
- Yếu tố di truyền (gen): Có tiền sử gia đình mắc bệnh tự miễn làm tăng nguy cơ.
- Nhiễm trùng: Một số virus và vi khuẩn có thể kích hoạt phản ứng tự miễn.
- Môi trường: Hóa chất độc hại, khói thuốc, thuốc trừ sâu hoặc kim loại nặng có thể là yếu tố kích thích.
- Nội tiết tố: Tỷ lệ nữ mắc bệnh tự miễn cao gấp 2–3 lần nam giới, cho thấy vai trò của hormone như estrogen.
- Lối sống và stress: Căng thẳng kéo dài, chế độ ăn uống kém là yếu tố gián tiếp góp phần gây bệnh.
⸻
3. Triệu chứng thường gặp
Các biểu hiện của bệnh tự miễn có thể khác nhau tùy theo loại bệnh, nhưng nhìn chung, có thể gặp:
-
- Mệt mỏi kéo dài
- Đau cơ, khớp, sưng hoặc cứng khớp
- Sốt nhẹ không rõ nguyên nhân
- Rối loạn tiêu hóa (tiêu chảy, đầy bụng)
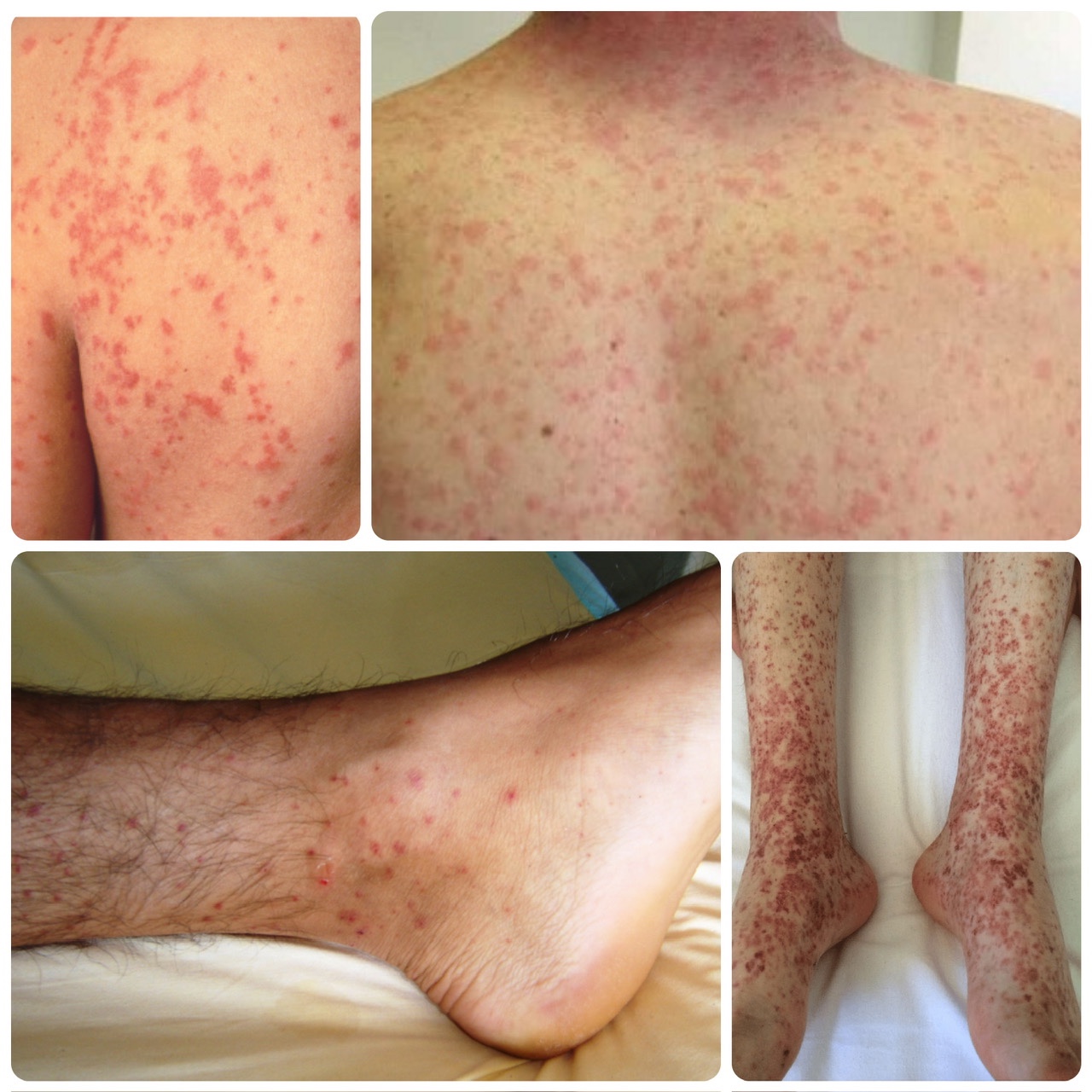
- Phát ban da, nổi ban đỏ
- Rụng tóc bất thường
- Khó tập trung, hay quên (brain fog)
- Sút cân không rõ lý do
- Các vấn đề nội tiết (tuyến giáp, tụy…)
Triệu chứng thường xuất hiện theo đợt (flare-up) và có giai đoạn thuyên giảm tạm thời (remission).
⸻
4. Đối tượng có nguy cơ cao
Những nhóm người dễ mắc bệnh tự miễn gồm:
-
- Phụ nữ trong độ tuổi sinh sản (15–45 tuổi)
- Người có tiền sử gia đình bị bệnh tự miễn
- Người từng mắc nhiễm trùng virus mạnh (Epstein-Barr, Cytomegalovirus…)
- Người sống trong môi trường ô nhiễm hoặc tiếp xúc hóa chất độc hại
- Người bị stress kéo dài hoặc có lối sống không lành mạnh (thiếu ngủ, ăn uống kém)
⸻
5. Biện pháp phòng ngừa
Hiện chưa có cách ngăn ngừa hoàn toàn bệnh tự miễn do yếu tố gen chi phối, nhưng có thể giảm nguy cơ và kiểm soát tốt bằng cách:
-
- Duy trì lối sống lành mạnh: Ngủ đủ giấc, vận động đều đặn, kiểm soát stress.
- Chế độ ăn chống viêm: Nhiều rau xanh, trái cây, thực phẩm giàu omega-3; tránh đường tinh luyện, đồ chiên xào.
- Không hút thuốc, hạn chế rượu bia.
- Kiểm tra sức khỏe định kỳ, đặc biệt nếu có tiền sử gia đình mắc bệnh tự miễn.
- Giữ vệ sinh, hạn chế nhiễm trùng, vì nhiễm trùng có thể là tác nhân khởi phát bệnh.
⸻
6. Phương pháp chẩn đoán
Chẩn đoán bệnh tự miễn thường phức tạp do triệu chứng không đặc hiệu. Các bước thường bao gồm:
-
- Khám lâm sàng và khai thác tiền sử bệnh
- Xét nghiệm máu: Tìm kháng thể tự miễn (ANA, RF, anti-dsDNA, anti-TPO…).
- Xét nghiệm chức năng cơ quan: Tuyến giáp, gan, thận, khớp…
- Chẩn đoán hình ảnh: X-quang, MRI nếu có tổn thương khớp, mô mềm.
- Sinh thiết mô (khi cần): Đặc biệt trong lupus, viêm mạch…
- Chẩn đoán sớm giúp kiểm soát tốt tiến triển bệnh.
⸻
7. Nguyên tắc điều trị
Không có thuốc chữa khỏi hoàn toàn bệnh tự miễn, nhưng điều trị giúp:
Kiểm soát triệu chứng
-
- Làm chậm tiến triển bệnh
- Ngăn ngừa biến chứng
- Cải thiện chất lượng sống
- Các phương pháp điều trị chính gồm:
Thuốc
-
- Thuốc ức chế miễn dịch: Corticoid, Methotrexate, Azathioprine…
- Thuốc sinh học (biologic): Rituximab, Infliximab…
- Thuốc giảm đau, kháng viêm: NSAIDs.
- Thuốc hỗ trợ theo cơ quan tổn thương: Insulin (tiểu đường type 1), hormone tuyến giáp…
Thay đổi lối sống
-
- Chế độ ăn uống chống viêm
- Vận động nhẹ nhàng, đều đặn
- Quản lý stress
- Tránh nhiễm trùng, nghỉ ngơi hợp lý
Theo dõi định kỳ
Bệnh nhân cần theo dõi chức năng các cơ quan, chỉ số viêm, và điều chỉnh thuốc định kỳ dưới sự giám sát bác sĩ chuyên khoa.
⸻
Kết luận
Bệnh tự miễn là nhóm bệnh lý phức tạp, ảnh hưởng toàn thân và cần điều trị lâu dài. Tuy không thể chữa khỏi hoàn toàn, người bệnh hoàn toàn có thể sống khỏe mạnh nếu được chẩn đoán sớm, điều trị đúng cách và duy trì lối sống khoa học. Việc hiểu rõ về bệnh là bước đầu quan trọng trong hành trình chủ động bảo vệ sức khỏe bản thân và người thân.

